정밀맞춤수술센터(PCS)

에이스병원은 안전하고 편안한 의료 서비스를 제공합니다.

A+ 4세대 최소 흉터
무지외반증 수술

A+ 4세대 최소 흉터 무지외반증 수술

에이스에서는 미세한 흉터만으로
빠르게 회복하는 무지외반증 수술

기능 문제뿐 이니라 미용적 스트레스까지
유발하던 무지 외반증.
에이스는 절개를 최소화해
일상 복귀를 앞당깁니다.
A+ 4세대 최소 흉터 무지외반증 수술

완전히 새로운 무지외반증 수술

A+ 4세대 최소 흉터
무지외반증 수술
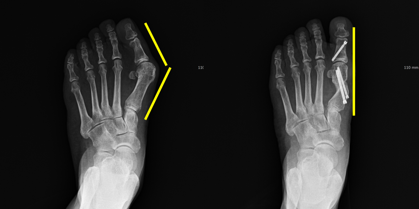
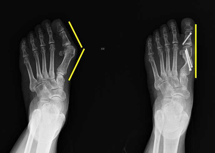
기존 수술, 흉터와 통증이 너무 커서 망설이셨나요?

에이스의 A+ 4세대 최소 흉터 무지외반증 수술은 MITA를 활용하여
기존 수술시 4~10cm에 달하던 절개 흉터, 출혈과 통증, 긴 회복 기간, 긴 입원과 재활 등 단점을 극복해
최소절개, 빠른 복귀, 통증 감소까지
환자 여러분의 삶의 질에 집중한 최신 최소침습 수술법입니다.

POINT

수술 포인트
  • 흉터 최소화

  • 통증, 부기,
    멍 현저히 감소

  • 수술 시간 단축
    (15~30분)

  • 빠른 보행 가능 &
    입원 단축

  • 재발률 감소
    (1% 미만)

에이스병원

최소 절개로 재활은 빠르게! 흉터와 통증은 적게!
왜 A+인가요?
A+ 4세대 최소 흉터 무지외반증 수술

A+ 4세대 최소 흉터
무지외반증 수술은

2~3mm 절개로 뼈 교정,
통증은 줄이고 흉터는 거의 없습니다.

A+MITA(Minimal Invasive Transverse Akin)
수술은
엄지발가락 휘어짐을 교정하는
최소침습 수술법입니다.
2~3mm 미세한 구멍만으로 뼈를 자르고,
특수 나사로 정밀 고정하여
통증과 흉터를 최소화합니다.

수술 과정
  • 국소 or 척추
    마취 하 수술
  • 엄지발가락 주변
    2~3mm
    구멍 3~5개
  • 절골 후 교정
    → 특수 나사 고정
  • 돌출 뼈 제거 후
    최소 봉합
  • 다음 날부터
    보조 신발
    착용 보행 가능
평균 15~30분
일반 무지외반증 수술
  • 절개크기4~10cm 광범위 절개
  • 조직 손상근육/신경 침범
  • 통증/멍심함
  • 수술시간40~50분 이상
  • 회복/입원1주 이상 입원
  • 흉터눈에 띔
  • 감염/부작용상대적으로 높음
  • 재발률최대 16%
  • 마취전신마취 필요
VS
  • 절개크기
  • 조직 손상
  • 통증/멍
  • 수술시간
  • 회복/입원
  • 흉터
  • 감염/부작용
  • 재발률
  • 마취
A+ 프리미엄 안심마취
  • 절개크기2~3mm 미세 구멍
  • 조직 손상최소화
  • 통증/멍적음
  • 수술시간15~30분
  • 회복/입원보조신발 보행, 1~2일 내 퇴원
  • 흉터거의 없음
  • 감염/부작용낮음
  • 재발률매우 낮음 (1%↓)
  • 마취국소 or 척추 가능

에이스병원

A+ 4세대 최소 흉터
무지외반증 수술
  • 01.통증/염증으로 보행이 불편한 경우
  • 02.변형 각도 20도 이상 (3~4단계)
  • 03.깔창·신발로 호전되지 않는 진행성 무지외반증
  • 04.미용적으로 개선을 원하는 경우
  • 05.고령자 / 지병 환자 / 재발 환자
기존 무지외반증 수술의 두려움을 덜어드리는
A+ 4세대 최소 흉터 무지외반증 수술

더 빠르게, 더 정확하게, 더 예쁘게 회복하세요.

  • 최소절개 (2~3mm 구멍) 흉터 최소화
  • 재발률 감소 (1% 미만)
  • 통증, 부기, 멍 현저히 감소
  • 고령자에게도 적용 가능 (부분마취)
  • 수술 시간 단축 (15~30분)
  • 미용적 만족도 탁월
  • 빠른 보행 가능 & 입원 단축
  • 감염·합병증 위험 낮음

에이스병원

전 의료진이
스포츠 메이저 대학병원 전임의
출신으로 구성되어 있습니다.

전문 전담 연구원들의

개인화된 재활 피드백

전 의료진

스포츠 메이저 대학병원 전임의 출신

세계 수준의

논문 SCI 발표 전문의

전문 전담 연구원들의

개인화된 재활 피드백

전 의료진

스포츠 메이저 대학병원 전임의 출신

세계 수준의

논문 SCI 발표 전문의

에이스병원

한 분을 위한 에이스의
전담적, 체계적 진료
1환자 1팀 전담 배정 ACE 치료 체계 풍부한 임상경험을 갖춘
의료진 전담 재활치료팀 임상분석팀
  • 세계적인 수준의 수술장비와 의료 시스템

    세계적인 클리닉들과 동일한 수술장비.
    세계 최대 마취 기업의 마취기계를 구비하여
    더 안전한 수술을 약속합니다.

  • 안전한 수술실과 철저한 무균 시스템

    국내 최고 수준의 무균 수술실과
    소독시스템을 구축하여
    감염의 위험이 제거된 안전한 수술을 약속합니다.

LOCATION
에이스 병원 오시는 길

사람이 먼저인 진료를 위해, 끊임없이 연구하고 진심을 다합니다.

오시는 길
경기도 안산시 단원구 광덕대로 244 에이스병원
(안산시청, 안산 단원경찰서 앞)
진료안내
월~금
AM 9:00 ~ PM 18:00
토요일
AM 9:00 ~ PM 01:00
  • 수요일 오후진료는 오후 2시 부터 진행합니다.
  • 일요일/공휴일 휴진
  • 토요일 오후 진료는 1800-7575로 문의 하여 주시기 바랍니다.