정밀맞춤수술센터(PCS)

에이스병원은 안전하고 편안한 의료 서비스를 제공합니다.

A+ 3D 골든타임 골절 수술

A+ 3D 골든타임 골절 수술

골절 치료의 골든 타임 72시간
놓치면 불유합부터 사망까지 초래

많은 분들이 골절을 단순히 ‘깁스하고 기다리는 병’으로 생각하지만,
골절 부위가 관절과 가까우면 몇 mm 오차도 후유증으로 이어질 수 있습니다.
골절 내원 환자 전용 고속 시스템 A+ 3D 골든타임 골절 수술

개인 맞춤 고정기구와 고난도 고정기술의 완벽한 조화

A+ 3D 골든타임 골절 수술
골절은 깁스한다고
바로, 모두 붙는 것이 아니기에

에이스병원은 골절 환자 내원 즉시,
정확한 3D CT 기반 진단 및 수술 Planning을 시작합니다.
정확한 골절의 위치, 각도, 회전 방향까지 분석해 수술계획을 수립하고,
부위별 골절 특화 의료진이 직접 수술합니다.

POINT

수술 포인트
  • 내원 즉시 골절
    진단 가능

  • 3D 기반 맞춤 수술
    Planning

  • 환자 상태에 맞춘
    고정 방식 선택

  • 부정정합 없는 정밀
    수술로 재수술률 ↓

  • 통증 감소 및 빠른
    회복 유도

에이스병원

평생이 좌우될 수 있는 골절 골든타임,
잡을 준비 완료
왜 A+인가요?
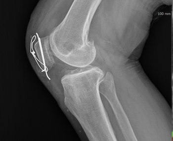
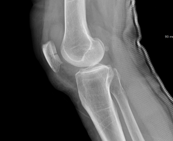
BEFORE AFTER
A+ 3D 골든타임 골절 수술

Before & After

에이스병원

골절 골든타임 놓치면
발생 가능한 후유증

골절 후 방치 시간이 길어질수록 뼈가 잘 붙지 않고,
혈액 공급이 차단되어 뼈 조직이 괴사할 위험이 커집니다

  • 골절 부정정합관절 변형, 관절염
  • 늦은 진단수술 타이밍 놓쳐 비수술 어려움
  • 혈액 공급 차단무혈성 괴사
  • 골절편의 신경 접촉신경 손상 및 마비
  • 장기적 통증, 관절 변형,
    만성 장애 유발
  • 고정 불완전불유합, 재수술

    특히, 골절 후 72시간(3일 이내)가 치료 성패를 가르는 골든타임입니다.

  • 고관절 등 부위에 따라 수술 지연시 사망 위험 증가

에이스병원

골절은 속도가 생명
A+ 3D골든타임 골절 수술

늘 준비 완료 상태로
대기중입니다.
  • 01. 골절 내원 즉시 진단
  • 02. 최신형 3d 기반 골절 진단 및 수술 planning
  • 03. 환자, 상황별 상이한 골절 기전에 따른
    정확한 수술 계획
  • 04. 상지부터 하지까지 전문 의료진의 최상급 치료
  • 05. 신속 진단, 수술로 통증과 회복 기간 급감
  • 06. 불유합 없이 튼튼한 고정 3D 맞춤 Planning
  • 07. 맞춤 재활 치료 플랜으로 빠른 일상 복귀

에이스병원

전 의료진이
스포츠 메이저 대학병원 전임의
출신으로 구성되어 있습니다.

전문 전담 연구원들의

개인화된 재활 피드백

전 의료진

스포츠 메이저 대학병원 전임의 출신

세계 수준의

논문 SCI 발표 전문의

전문 전담 연구원들의

개인화된 재활 피드백

전 의료진

스포츠 메이저 대학병원 전임의 출신

세계 수준의

논문 SCI 발표 전문의

에이스병원

한 분을 위한 에이스의
전담적, 체계적 진료
1환자 1팀 전담 배정 ACE 치료 체계 풍부한 임상경험을 갖춘
의료진 전담 재활치료팀 임상분석팀
  • 세계적인 수준의 수술장비와 의료 시스템

    세계적인 클리닉들과 동일한 수술장비.
    세계 최대 마취 기업의 마취기계를 구비하여
    더 안전한 수술을 약속합니다.

  • 안전한 수술실과 철저한 무균 시스템

    국내 최고 수준의 무균 수술실과
    소독시스템을 구축하여
    감염의 위험이 제거된 안전한 수술을 약속합니다.

LOCATION
에이스 병원 오시는 길

사람이 먼저인 진료를 위해, 끊임없이 연구하고 진심을 다합니다.

오시는 길
경기도 안산시 단원구 광덕대로 244 에이스병원
(안산시청, 안산 단원경찰서 앞)
진료안내
월~금
AM 9:00 ~ PM 18:00
토요일
AM 9:00 ~ PM 01:00
  • 수요일 오후진료는 오후 2시 부터 진행합니다.
  • 일요일/공휴일 휴진
  • 토요일 오후 진료는 1800-7575로 문의 하여 주시기 바랍니다.