사람이 먼저인 진료를 위해, 끊임없이 연구하고 진심을 다합니다.
- 월~금
- AM 9:00 ~ PM 18:00
- 토요일
- AM 9:00 ~ PM 01:00
- 수요일 오후진료는 오후 2시 부터 진행합니다.
- 일요일/공휴일 휴진
- 토요일 오후 진료는 1800-7575로 문의 하여 주시기 바랍니다.
에이스병원은 안전하고 편안한 의료 서비스를 제공합니다.

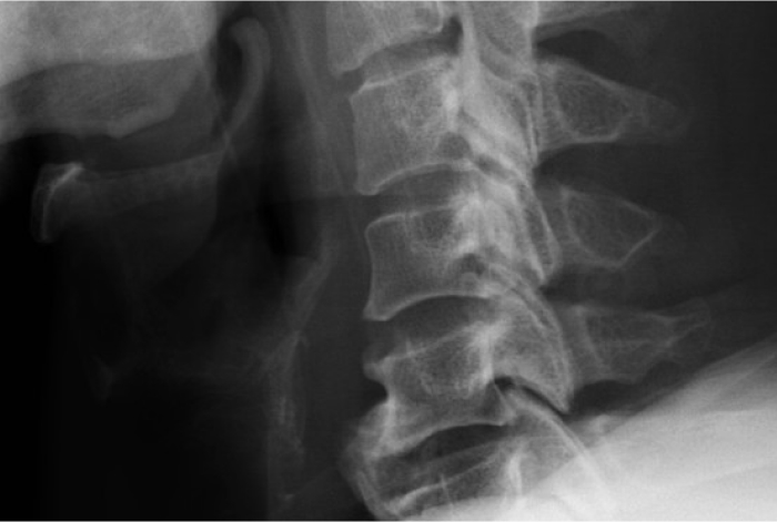
목을 젖히면 팔이나 다리가 아프고 저리시나요?
원인 모를 보행 불안정, 손기능 저하가 점점 심해지시나요?
척추 뼈 안쪽의 인대(후종인대)가 딱딱하게 뼈처럼 굳어지는 질환입니다.
척수가 눌려 신경 손상, 사지마비, 보행 장애 등으로 진행될 수 있습니다.
목, 어깨 결림
손 저림, 감각 둔화
손에 힘이 빠져
단추 끼우기,
젓가락질 어려움
보행 시 다리에
힘이 빠짐
걷기 어려움,
배뇨·배변 기능 장애
심하면 사지마비로
진행
에이스병원
이래서 후종인대골화증은 에이스에서
주사 요법, 약물치료
도수치료
체외 충격파 치료
에이스병원
사람이 먼저인 진료를 위해, 끊임없이 연구하고 진심을 다합니다.