사람이 먼저인 진료를 위해, 끊임없이 연구하고 진심을 다합니다.
- 월~금
- AM 9:00 ~ PM 18:00
- 토요일
- AM 9:00 ~ PM 01:00
- 수요일 오후진료는 오후 2시 부터 진행합니다.
- 일요일/공휴일 휴진
- 토요일 오후 진료는 1800-7575로 문의 하여 주시기 바랍니다.
에이스병원은 안전하고 편안한 의료 서비스를 제공합니다.

무릎이 붓고 소리가 나며 통증이 점점 심해지시나요?
계단을 오르거나 오래 걸으면 무릎이 빠질 듯 아프신가요?
퇴행성 관절염은 무릎 관절을 감싸는 연골이 나이,
체중, 반복 사용 등으로 점차 닳아 없어지면서 염증과 통증을
유발하는 질환입니다.
무릎 뻣뻣함,
시큰거림
운동 후 통증,
딸깍 소리
무릎이 붓고,
관절 잠김
특정 동작에서 걸림,
쪼그려 앉기 어려움
지속적 통증,
관절 변형
다리 축이 틀어지며
보행 어려움
에이스병원
이래서 퇴행성 관절염 / 연골 결손은 에이스에서
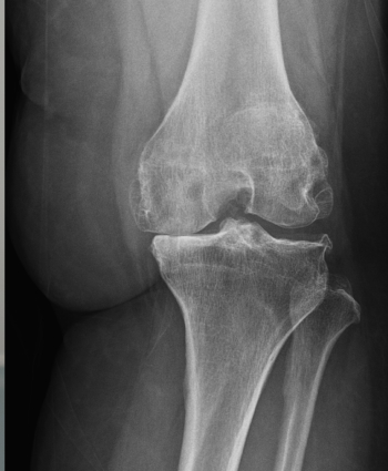
X-ray 관절 간격, 관절 정렬, 뼈 변화 확인
MRI
연골 결손 위치 및 범위,
박리성 병변, 인대 동반 손상 확인
하지 정렬 검사 휜다리 등 하지 축 이상 여부 판단
에이스병원
01.
경미한 연골 손상 / 초기 관절염
보존적 치료
약물치료, 히알루론산 주사, 체외충격파, 도수치료
02.
국소 연골 결손 / 박리성 골연골염
내시경 미세천공술
손상 부위에 구멍을 내 자가 연골 재생 유도
03.
국소 깊은 연골 결손
줄기세포 연골재생 치료
줄기세포를 주입해 연골 재건을 유도
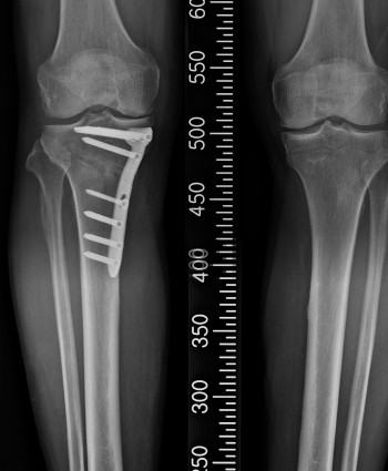
04.
관절염 + 휜다리 동반
휜다리교정술 (절골술)
무게 중심을 바꿔 관절염 진행 지연
05.
관절염 말기 / 연골 전면 마모
인공관절치환술 (TKR)
손상된 관절 제거 후 인공관절 삽입, 보행 기능 회복
에이스병원
내시경 미세천공술
간단한 시술로
자가 연골 재생 유도
Cartistem
줄기세포 치료로 자가 연골 재생,
연골재생에 효과적
휜다리 교정술
체중을 재분배 하여
탁월한 통증 개선
인공관절수술
고령 환자 /
말기 퇴행성 관절염에 적용
에이스병원
사람이 먼저인 진료를 위해, 끊임없이 연구하고 진심을 다합니다.