사람이 먼저인 진료를 위해, 끊임없이 연구하고 진심을 다합니다.
- 월~금
- AM 9:00 ~ PM 18:00
- 토요일
- AM 9:00 ~ PM 01:00
- 수요일 오후진료는 오후 2시 부터 진행합니다.
- 일요일/공휴일 휴진
- 토요일 오후 진료는 1800-7575로 문의 하여 주시기 바랍니다.
에이스병원은 안전하고 편안한 의료 서비스를 제공합니다.

신발을 신을 때 엄지발가락
안쪽이 아프거나 붓고 있진 않으신가요?
발 모양이 휘어져서 보기 싫지 않으신가요?
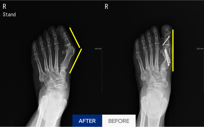
엄지발가락이 바깥쪽으로 휘고,
중족골이 안쪽으로 벌어지며 관절이 돌출되는 질환입니다.
단순 돌출이 아닌, 전체적인 발 구조 변형으로 이어질 수 있습니다. 초기 대응이 중요합니다.
이래서 무지외반증은 에이스에서
세계수준의 전문 의료진,
진단장비로 정확한 상태 진단
수술전 정확한 진단 및 모양 분석
적은 흉터로 맞춤형 모양 교정




이런 분이라면 꼭 진단 받아보셔야 합니다.
에이스병원
사람이 먼저인 진료를 위해, 끊임없이 연구하고 진심을 다합니다.