사람이 먼저인 진료를 위해, 끊임없이 연구하고 진심을 다합니다.
- 월~금
- AM 9:00 ~ PM 18:00
- 토요일
- AM 9:00 ~ PM 01:00
- 수요일 오후진료는 오후 2시 부터 진행합니다.
- 일요일/공휴일 휴진
- 토요일 오후 진료는 1800-7575로 문의 하여 주시기 바랍니다.
에이스병원은 안전하고 편안한 의료 서비스를 제공합니다.

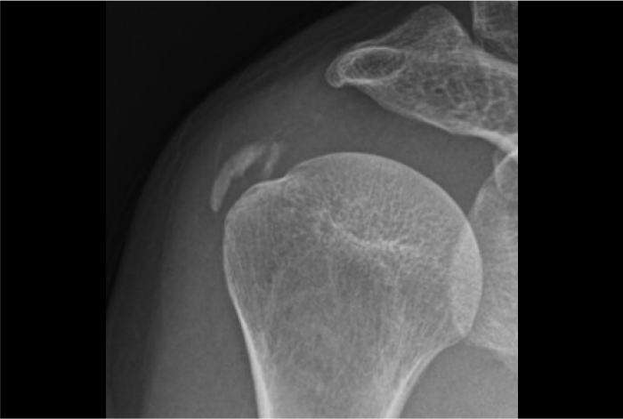
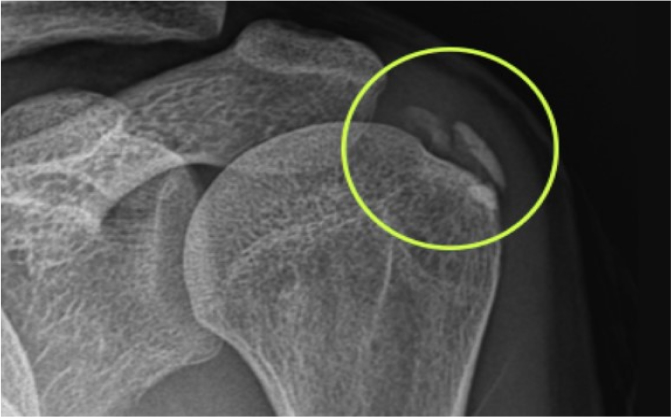
어깨에 특별한 충격이나 외상이 없었는데도
계속해서 통증이 느껴지시나요?
수면 도중 깰 정도의 통증을 느끼시나요?
어깨를 감싸고 있는 회전근개 힘줄에 칼슘
성분이 침착되면서 염증을 일으키는 질환입니다.
석회가 자리를 잡으면 자연흡수가 어렵기 때문에 조기 진단과 치료가 매우 중요합니다.
이래서 석회화건염은 에이스에서
세계수준의 전문 의료진,
진단장비로 정확한 상태 진단
경도-중등도-중증 병기 구분
석회 크기와 환자 상태에 맞춰 적합하고 확실한 에이스 치료




석회화건염 예방법
에이스병원
사람이 먼저인 진료를 위해, 끊임없이 연구하고 진심을 다합니다.